Trimethoprim-sulfamethoxazole-induced lung injury: a case report
Highlight box
Key findings
• Trimethoprim-sulfamethoxazole (TMP-SMX) exposure can be associated with severe pediatric acute respiratory distress syndrome (PARDS) and prolonged oxygen therapy.
• Pneumomediastinum, pneumothorax and subcutaneous emphysema are prominent features in TMP-SMX-associated PARDS.
What is known and what is new?
• TMP-SMX-induced PARDS has high morbidity and mortality, with a case series of 19 patients reporting prolonged extracorporeal membrane oxygenation support in 84% of patients, and 32% of patients requiring heart or heart/lung transplant.
• Steroid therapy, in combination to supportive therapy and TMP-SMX discontinuation, may aid in the recovery of TMP-SMX-associated drug-induced lung injury (DLI).
What is the implication, and what should change now?
• Clinicians should maintain an early index of suspicion for DLI. When faced with a possible DLI, the inciting drug should be stopped immediately.
• Consensus on recommendations for corticosteroid dose regimes in severe DLI is needed.
• There is a need to understand the mechanism by which TMP-SMX causes lung toxicity and to identify associated pharmacogenomic risk factors.
Introduction
Trimethoprim-sulfamethoxazole (TMP-SMX) is a commonly used antibiotic. Well recognized side effects include cytopenia and severe cutaneous adverse reactions (SCARs) such as Steven-Johnson syndrome (SJS) and toxic epidermal necrolysis (TEN) (1). TMP-SMX-induced lung toxicity in adults and children is rare, with reports of hypersensitivity pneumonitis, acute fibrinous organizing pneumonia (OP), interstitial lung disease and acute respiratory distress syndrome (2-9).
The mechanism for drug-induced lung injury (DLI) is not well understood. Diagnosis of DLI can be challenging owing to the diverse spectrum of clinical, radiologic and pathologic features, which can also overlap with other etiologies.
Our case report describes a child presenting with respiratory failure and extensive air leaks following exposure to TMP-SMX for treatment of osteomyelitis. After a comprehensive workup, she was ultimately diagnosed with TMP-SMX-induced pediatric acute respiratory distress syndrome (PARDS). We present this case in accordance with the CARE reporting checklist (available at https://tp.amegroups.com/article/view/10.21037/tp-23-383/rc).
Case presentation
All procedures performed in this study were in accordance with the ethical standards of the national research committee and with the Helsinki Declaration (as revised in 2013). Written informed consent was obtained from the patient’s parents for publication of this case report and accompanying images. A copy of the written consent is available for review by the editorial office of this journal.
An eight-year-old female was admitted for acute breathlessness with fever, maculopapular rash, and vomiting. Five weeks prior, she was diagnosed with left hip osteomyelitis and Group D Salmonella bacteremia, which was sensitive to ceftriaxone and TMP-SMX. This occurred after a holiday in a city near Mumbai, India. She underwent ultrasound-guided drainage of a left acetabular extra-osseous abscess a week after antibiotic initiation, with improvement. Joint cultures were negative, and she was presumed to have had Salmonella osteomyelitis. She was discharged on oral TMP-SMX [160 mg TMP component twice daily (10 mg/kg/day)] for four to six weeks (10).
On day 19 of TMP-SMX, her fever recurred. She did not have hip pain, and her C-reactive protein (CRP) had decreased from 151.0 mg/L during her previous hospital admission to 32.8 mg/L. The erythrocyte sedimentation rate (ESR) was elevated at 24 mm/hr. Rickettsia serology returned as 1:512 for the spotted fever group rickettsiae (SFGR) (titers ≥1:128 are considered positive). Therefore, one week of doxycycline [70 mg twice daily (4.4 mg/kg/day)] was added.
She continued to have fever at home with vomiting, but did not have respiratory symptoms. A maculopapular rash that started on her hands and spread to her body and face. On day 25 of TMP-SMX, she was admitted for persistent fever and acute breathlessness. Physical examination revealed reduced air entry over the lower chest with scattered crepitations bilaterally, and a diffuse pruritic reticular maculopapular rash with no mucosal involvement. She had a fever of 38.4 ℃, with pulse rate 147 beats/min, respiratory rate 44 breaths/min, and oxygen saturation (SpO2) 92% in room air. Supplemental oxygen via face mask at 5 L/min was started.
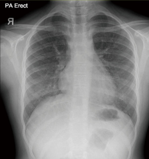
Table 1 displays her initial laboratory investigations. The chest X-ray (CXR) showed extensive pneumomediastinum and subcutaneous emphysema extending up to her neck, a small left apical pneumothorax, with bilateral diffuse hazy opacification of lung fields (Figure 1).
Table 1
| Variable | Reference range | Day 1 of admission | Day 2 of admission | Day 3 of admission |
|---|---|---|---|---|
| Hematology | ||||
| White blood cell count (109/L) | 5.26–12.25 | 5.53 | 3.33 | 7.88 |
| Hemoglobin (g/dL) | 11.7–14.6 | 10.2 | 9.6 | 8.2 |
| Platelet (109/L) | 140–440 | 183 | 108 | 160 |
| Mean corpuscular volume (fL) | 72.5–85.1 | 76.9 | 80.3 | 80.2 |
| Mean corpuscular hemoglobin concentration (%) | 32.9–35.8 | 33.0 | 32.7 | 31.5 |
| Neutrophil (%) | – | 65.0 | 60.0 | 62.0 |
| Neutrophil absolute (109/L) | 1.87–7.5 | 3.59 | 2.00 | 4.89 |
| Lymphocyte (%) | – | 25.0 | 24.0 | 23.0 |
| Lymphocyte absolute (109/L) | 1.81–5.77 | 1.38 | 0.8 | 1.81 |
| Monocyte (%) | – | 8.0 | 8.0 | 7.0 |
| Monocyte absolute (109/L) | 0.29–1.11 | 0.44 | 0.27 | 0.55 |
| Eosinophil (%) | – | 1.0 | 5.0 | 6.0 |
| Eosinophil absolute (109/L) | 0.00–0.84 | 0.06 | 0.17 | 0.47 |
| Atypical lymphocyte (%) | – | 1.0 | 3.0 | 2.0 |
| Atypical lymphocyte (109/L) | – | 0.06 | 0.1 | 0.16 |
| Reticulocyte count (%) | 0.98–1.94 | 0.95 | 0.74 | |
| Reticulocyte absolute (109/L) | 42.0–70.0 | 34.8 | 21.3 | |
| D-dimer (mg/L FEU) | 0.19–0.55 | – | 13.63 | |
| Biochemistry | ||||
| Urea (mmol/L) | 3.2–7.9 | 7.2 | – | 3.5 |
| Creatinine (μmol/L) | 27–54 | 58 | – | 40 |
| Alanine transaminase (unit/L) | 9–25 | 49 | – | 28 |
| Aspartate transaminase (unit/L) | 18–36 | 54 | – | 60 |
| Alkaline phosphatase (unit/L) | 166–393 | 168 | – | 140 |
| Gamma-glutamyl transferase (unit/L) | 6–15 | 27 | – | 29 |
| Total protein (g/L) | 64–77 | 72 | – | 54 |
| Albumin (g/L) | 37–47 | 35 | – | 30 |
| Bilirubin, total (μmol/L) | 3–21 | 7 | – | 7 |
| Bilirubin, direct (μmol/L) | 1–3 | 3 | – | 4 |
| Procalcitonin (μg/L) | ≤0.09 | 0.26 | – | 43.28 |
| C-reactive protein (mg/L) | 0.0–5.0 | 59.7 | – | 162.5 |
FEU, fibrinogen equivalent units.
She was transferred to the pediatric intensive care unit (PICU) and intravenous (IV) ceftriaxone and metronidazole were started for presumed mediastinitis. TMP-SMX was stopped because of concerns of possible drug hypersensitivity. Doxycycline was felt to be less likely the culprit as her symptoms of fever and rash had already started at home despite not tolerating oral doxycycline.
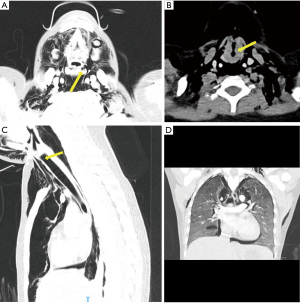
Given her extensive air leaks and history of significant retching, there were concerns for esophageal perforation secondary to drug-induced esophagitis or Boerhaave syndrome (11,12). Computed tomography (CT) neck and thorax did not find definite esophageal perforation, but revealed widespread pneumomediastinum, bilateral pneumothoraces, lower cervical and thoracic subcutaneous emphysema with suggestion of a tear in the left hypopharynx and anterior wall of the upper trachea. There were diffuse pulmonary ground-glass changes involving the entire lung with an apico-basal gradient (Figure 2).
Following this scan, she deteriorated rapidly with increasing neck and upper chest swelling. Her lowest SpO2 was 50% and she developed significant respiratory distress. She underwent emergency intubation. Micro-laryngoscopy and bronchoscopy (MLB) and esophagoscopy performed by the otolaryngologist and pediatric surgeon, respectively, revealed normal trachea with mild esophagitis with no tracheal or esophageal perforation.
Workup for infective causes for pneumonitis and ground glass changes was performed. Although she had a recent positive Rickettsia serology, a repeat test did not reveal a 4-fold increase in the antibody titer and she remained febrile with rising inflammatory markers despite adequate treatment with one week of doxycycline. Her Mycoplasma pneumoniae total antibody result was reactive at 1:160 and increased two weeks later to 1:320 (Table 2). Respiratory pathogens multiplex polymerase chain reaction (PCR) from nasopharyngeal specimen on the first and second day of admission, and bronchoalveolar lavage (BAL) on day eight of admission, was otherwise negative for Mycoplasma pneumoniae. Other workup for viral, atypical and opportunistic infections including BAL on day eight of admission for Pneumocystis jirovecii was unremarkable (Table 2). Ultrasound hip did not reveal any recurrence of effusion.
Table 2
| Pathogen | Test | Source | Result |
|---|---|---|---|
| Bacteriology | Blood culture | Blood | Negative |
| Urine culture | Urine | Negative | |
| Stool culture | Stool | Negative | |
| Mycoplasma pneumoniae total antibody | Blood (day 1 and 16 of admission) | Positive (titer =160, increased to 320) | |
| Spotted fever group rickettsiae | |||
| · R. australis | Blood | Positive (titer =512) | |
| · R. honei | |||
| · R. conorii | |||
| · R. africae | |||
| · R. rickettseii | |||
| · R. felis | Blood | Positive (titer =128) | |
| Typhus group rickettsiae | Blood | Positive (titer =128) | |
| • R. prowazekii | |||
| • R. typhi | |||
| Scrub typhus group rickettsiae | Blood | Negative | |
| • Orientia tsutsugamushi | |||
| • Orientia chuto | |||
| Respiratory gram stain plus culture | ETT aspirate | Negative for bacteria | |
| Respiratory gram stain plus culture | BAL (day 8 of admission) | Pseudomonas aeruginosa, 1,000 colony forming units/mL | |
| Antistreptolysin O titer | Blood | Negative | |
| Streptococcus pneumoniae antigen | Urine | Negative | |
| Legionella antigen | Urine | Negative | |
| Melioidosis serology and PCR | Blood | Negative | |
| GI panel PCR | Stool | Positive | |
| • Enteroaggregative E. coli | |||
| • Campylobacter spp, Clostridium difficile, Plesiomonas shigelloides, Salmonella spp, Vibrio spp, Vibrio cholerae spp, Yersinia enterocolitica, Enteropathogenic E. coli, Enterotoxigenic E. coli, Shiga toxin-producing E. coli, E. coli O157, Shigella and enteroinvasive E. coli | Stool | Negative | |
| Mycobacteriology | TB T-spot | Blood | Negative |
| Mantoux (tuberculin skin test) | – | Negative | |
| Acid-fast bacilli smear and culture, TB PCR | ETT aspirate and BAL | Negative | |
| Virology | Respiratory pathogens multiplex PCR | Nasopharyngeal and BAL | Negative |
| • SARS-CoV-2, influenza A and B, parainfluenza 1, parainfluenza 2, parainfluenza 3, parainfluenza 4, respiratory syncytial virus, Metapneumovirus, human coronavirus OC43, human coronavirus 229E, human coronavirus NL63, human coronavirus HKU1, rhinovirus/enterovirus, adenovirus, Bordetella pertussis, Bordetella parapertussis, Mycoplasma pneumoniae, Chlamydia pneumoniae | |||
| GI panel PCR | Stool | Negative | |
| • Adenovirus F40/41, astrovirus, norovirus GI/GII, rotavirus A, sapovirus (I, II, IV, V) | |||
| Cytomegalovirus PCR | Blood, urine, ETT aspirate | Negative | |
| Epstein-Barr virus PCR | Blood | Negative | |
| Human immunodeficiency virus antibody | Blood | Negative | |
| Mycology | Fungal blood culture | Blood | Negative |
| Fungal microscopy | ETT aspirate and urine | Negative | |
| Fungal microscopy | Stool | Blastoconidia | |
| Respiratory gram stain plus culture | ETT aspirate | Candida orthopsilosis (light growth) |
|
| Fungal culture | ETT aspirate | Candida parapsilosis complex | |
| Pneumocystis jirovecii (carinii) PCR | ETT aspirate and BAL | Negative | |
| Galactomannan antigen | Blood and BAL | Negative | |
| Cryptococcal antigen | Blood | Negative | |
| Parasitology | Ova, cysts, parasites | Stool | Negative |
| GI panel PCR | Stool | Negative | |
| • Cryptosporidium spp, Cyclospora cayatenensis, Entamoeba histolytica, Giardia lamblia |
ETT, endotracheal tube; BAL, bronchoalveolar lavage; PCR, polymerase chain reaction; GI, gastrointestinal; TB, tuberculosis; SARS-CoV-2, severe acute respiratory syndrome coronavirus 2.
Non-infectious causes were also considered. Two-dimensional echocardiogram and CT pulmonary angiogram excluded cardiogenic pulmonary edema and pulmonary infarct (13-15). The chest imaging and acuity of symptoms were also inconsistent with aspiration pneumonia and childhood interstitial lung disease (16).
Given the severity of her illness, she was investigated for possible underlying immunodeficiency. There was no personal or family history to suggest immunodeficiency. Investigations supported intact phagocytic and humoral immunity. An isolated raised immunoglobulin E (IgE) level of 1,167 IU/mL was deemed unlikely to be Hyper IgE syndrome owing to her low National Institute of Health’s-Hyper IgE Syndrome (NIH HIES) Clinical Score (17), and subsequent improvement to 234 IU/mL. Although she had pan-lymphopenia with anemia and thrombocytopenia (Table 1), this was attributed to her critical illness as these abnormalities resolved when her condition improved. Aside from a reticular rash that did not appear vasculitic, she had no systemic features of autoimmunity and autoantibody testing returned negative (Table 3).
Table 3
| Investigation | Reference range | Result |
|---|---|---|
| C3 Complement (g/L) | 0.83–1.52 | 1.16 |
| C4 Complement (g/L) | 0.13–0.37 | 0.29 |
| Antinuclear antibody | Negative | |
| Anti double-stranded DNA antibody (IU) | <25 | 1.51 |
| Anticardiolipin IgM and IgG | Negative | |
| Anti-beta-2-glycoprotein IgM and IgG | Negative | |
| Smith antibody | Negative | |
| Ribonucleoprotein antibody | Negative | |
| Ro (SSA) antibody | Negative | |
| La (SSB) antibody | Negative | |
| Scl-70 antibody | Negative | |
| Jo-1 antibody | Negative | |
| Anti-myeloperoxidase | Negative | |
| Anti-proteinase 3 | Negative |
IgM, immunoglobulin M; IgG, immunoglobulin G; SSA, Sjögren’s-syndrome type A; SSB, Sjögren’s-syndrome type B.
Given she had the constellation of fever, maculopapular rash, pneumonitis and atypical lymphocytosis (4%), drug reaction with eosinophilia and systemic symptoms (DRESS) syndrome secondary to TMP-SMX was considered (18,19). However, her other clinical and laboratory parameters, along with a low Registry of Severe Cutaneous Adverse Reactions (RegiSCAR) score, made the diagnosis of DRESS syndrome less likely (Table 1) (20).
Over the first week of her admission, she remained on mechanical ventilation (MV) with severe oxygenation failure (maximum oxygen index: 16.2), consistent with severe PARDS. Her maximum MV settings were: peak inspiratory pressure 20 cmH2O, positive end expiratory pressure 10 cmH2O and fraction of inspired oxygen (FiO2) requirement 70%.
Candida orthopsilosis and blastoconidia were identified in endotracheal tube (ETT) aspirate and stool fungal smears on day two of admission, respectively, and thought to be likely colonization from her prolonged antibiotic exposure. In addition to her broad-spectrum antibiotics (ceftriaxone and metronidazole), IV micafungin was started on day four of admission to cover for potential invasive fungal infection. However, her condition did not improve despite IV antifungal treatment. Blood fungal cultures were negative and there was no evidence of the typical findings of pulmonary fungal infection seen on the CT scans.
IV methylprednisolone was started on day six of admission (loading dose of 2 mg/kg, followed by 2 mg/kg daily in four divided doses over two weeks, for treatment of PARDS (21). With the initiation of methylprednisolone, her fever lysed on the same day and her rash rapidly resolved within four days. Concurrently, her inflammatory markers improved with reduction in her MV requirement.
Bronchoscopy on day eight of admission by the pulmonologist revealed normal airway anatomy with no mucus plugging or bleeding. BAL revealed neutrophilic predominance (neutrophils 65%, lymphocyte 20%, monocyte 15%, basophil 0% and eosinophil 0%). There were no eosinophils on BAL nor peripheral eosinophilia to suggest hypersensitivity pneumonitis or eosinophilic lung disease. BAL cultures grew Pseudomonas aeruginosa (1,000 colony forming units/mL), which was likely nosocomial in nature, and for which IV ceftriaxone was converted to ceftazidime. A pulmonary infection with Pseudomonas aeruginosa and Candida orthopsilosis as the primary cause of her presenting complaints were deemed less likely as she did not respond to the antimicrobials and her clinical status only improved after the initiation of methylprednisolone therapy. Nevertheless, she completed a two-week course of IV micafungin. A follow up CT scan had showed resolution of the linear defect in the upper trachea. Repeat MLB on day twelve of admission did not show tracheal perforation.
By the time the diagnosis of DLI was made, our patient had received almost two weeks of IV methylprednisolone and had shown gradual improvement. There was no relapse in her condition when weaning the steroids. After 22 days of MV, she was successfully extubated to high-flow nasal cannula (HFNC) 25 L/min, which was reduced to 2 L/min after two days, and required a total of 26 days of PICU stay. She continued to improve and completed 32 days of steroids, and four weeks of antibiotics for presumed mediastinitis. Serial CXR showed improvement. Her oxygen support was weaned, and she was discharged on day 43 with home oxygen therapy of 1 L/min.
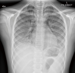
At outpatient follow up, she remained symptom-free. Oxygen was stopped by six weeks post discharge with good overnight pulse oximetry profile in room air. With rehabilitation, she was gradually able to return to school and participate in physical activities. At nine months post-discharge, CXR still showed fine reticular opacities in bilateral lower zones (Figure 3), while her spirometry remained normal.
Discussion
Our case describes a severe case of PARDS with pneumonitis that was a possible DLI triggered by TMP-SMX. DLI are rare, and its exact incidence is unknown. In most cases, the clinical, radiological, laboratory or histological features are non-specific. DLI is often a diagnosis of exclusion.
When considering infectious etiologies for her pneumonitis and ARDS, we initially suspected rickettsial infection, in view of her positive serology towards SFGR. Pneumonitis and lung involvement are known complications of SFGR (22-24). SFGR might have been acquired during her travel to western India, as SFGR is rare in Singapore (23,25). However, the delayed presentation of five weeks after her travel was inconsistent with the typical incubation period of 2 to 14 days for rickettsial infection (22). Furthermore, the lack of a 4-fold increase in her repeat antibody titer implied SFGR was not the underlying cause of her presentation. Similarly, although her serological tests also indicated a recent exposure to Mycoplasma pneumonia, it was not significant for mycoplasma infection as no 4-fold increase in antibody titer was observed. Despite treatment with 7 days of doxycycline (for presumed Rickettsia), her condition did not improve until steroids were initiated.
After excluding other possible causes (infective, autoimmune and immunologic) for her PARDS with pneumonitis, we were led to the diagnosis of possible TMP-SMX-induced drug hypersensitivity syndrome with single organ involvement (DLI) (26). Our patient scored “probable” on the Naranjo causality assessment tool for adverse drug reactions (27). We applied Camus et al.’s Diagnostic Criteria for Drug-induced Infiltrative Lung Disease (28), which similarly supported the diagnosis of TMP-SMX-induced lung disease in view of the temporal association between drug exposure and onset of symptoms, characteristics of her clinical and radiographic findings consistent with the reported patterns of reaction to TMP-SMX (29), as well as exclusion of other causes. She had no prior history of exposure to TMP-SMX. Further history revealed that her father also had possible allergy to sulfa drug at the age of ten years old, and had avoided all sulfa drugs since.
Although drug provocation testing (DPT) is the gold standard test for diagnosing drug allergy, it was held off in our patient due to the severity of her index reaction. Similarly, skin prick and intradermal testing were not performed due to the severity of her reaction and a probable non-IgE mediated mechanism. Lymphocyte transformation tests (LTT) and enzyme linked ImmunoSpot (ELISpot) assays were not performed and are not available in our center.
With the various phenotypes of DLI, distinguishing drug-induced toxicity from underlying disease progression or associated complications can be challenging due to overlap in clinical symptoms. A spectrum of clinical and pathological patterns of DLI exists, involving the alveolar and interstitial regions, airways, blood vessels and pleura. Drug-induced interstitial pneumonia [e.g., acute interstitial pneumonia, OP, and non-specific interstitial pneumonia (NSIP)] is the most prevalent (30,31). Other clinical syndromes of drug-induced alveolar and interstitial conditions include acute respiratory distress syndrome (ARDS) or acute lung injury (ALI) which manifests histologically as diffuse alveolar damage (DAD), as well as eosinophilic pneumonia (EP), hypersensitivity pneumonia (HP), pulmonary edema, pulmonary alveolar proteinosis, and diffuse alveolar haemorrhage. DLI may also present as bronchospasm, constrictive bronchiolitis obliterans, vasculitis, pulmonary hypertension, pulmonary veno-occlusive disease and pleuritis (28,30,32,33).
TMP-SMX-induced lung injury has been reported to manifest as hypersensitivity pneumonitis, acute fibrinous OP, and interstitial lung disease (2-4). Cases with similar clinical presentation and course to our patient, in particular the phenotype of TMP-SMX-induced ARDS associated with extensive pneumomediastinum and pneumothorax, have been reported (5-9,34). Majority of these cases have early air leaks even prior to intubation, as in our case, which appears to be a notable feature of patients with TMP-SMX-associated ARDS (9). In the largest case series to date, Miller et al. reported 19 previously healthy children and young adults who developed severe acute respiratory failure associated with TMP-SMX (9). While patients were slightly older (median age 17 years old), the timeline of exposure, symptoms, and illness course bore striking similarity to our patient (6,9). In Miller et al.’s case series, 84% of patients required extracorporeal membrane oxygenation (ECMO), 6 of 19 patients underwent lung or heart/lung transplant and a third of the survivors had mild restrictive lung disease on pulmonary function tests performed at a mean of 16 months post-discharge (9). Although our patient did not require such advanced PICU support and interventions, she did have a prolonged duration of oxygen dependence.
To aid clinicians in recognizing and diagnosing TMP-SMX-associated severe ARDS, Miller et al. (9) have proposed a novel clinical case definition and clinical evaluation. The first component, clinical definition, is defined by unexplained severe respiratory failure in a patient receiving greater than or equal to six days of TMP-SMX at treatment dose and after excluding alternative causes. The second component proposes human leukocyte antigen (HLA) allele evaluation in patients with suspected TMP-SMX respiratory failure. Interestingly, Goldman et al. (35) evaluated HLA locus variation in a multiracial cohort of seven patients with TMP-SMX-induced respiratory failure, and identified both HLA-B*07:02 and HLA-C*07:02 alleles to be associated with TMP-SMX severe respiratory failure. HLA testing was offered to our patient but declined by the family. In the third and final component, lung pathology, early surgical lung biopsy can be considered for suspected cases of TMP-SMX respiratory failure. A consistent and unique histopathological pattern of lung injury termed diffuse alveolar injury with delayed epithelialization (DAIDE) has been reported in affected cases. DAIDE is characterized by signs of early organizing diffuse alveolar damage and lack of hyaline membranes, with macrophages lining denuded alveolar walls, and sparing the bronchioles (6,8,9). Although lung biopsy was considered in our patient, it was held off due to clinical instability and high ventilatory requirements. The lung biopsy was also deemed unlikely to impact on the clinical management given that corticosteroids had already been instituted and TMP-SMX had been withdrawn by the time she stabilized.
The mechanism of DLI may be direct or indirect. Drugs, particularly cytotoxics, may induce lung injury through direct effects on alveolar type I epithelial cells, airway epithelial cells, or vascular endothelial cells. Alternatively, drugs may act as a hapten or mimic antigens, leading to activation of immune cells, and inducing an immune cascade that results in immune-mediated lung injury (30,31). Plausible explanation of DLI in our patient may involve a delayed T-cell mediated mechanism, leading to the release of pro-inflammatory cytokines and chemokines, triggering a systemic inflammatory response and lung inflammation.
The cornerstone of management of patients with drug hypersensitivity reaction (DHR) or DLI involves discontinuation of the inciting drug followed by supportive care (31,36). Adjunctive treatment with corticosteroids may be considered to suppress the inflammatory process (31,37) although its efficacy varies widely (33,38). Certain types of DLIs including NSIP, OP, HP and EP have favorable response to corticosteroids, (30,33,38), while other cases such as DAD-type or advanced fibrosis are unlikely to respond to corticosteroids (30,33). For both drug-induced and non-drug-induced ARDS, the role of steroids remains controversial (32,39). Both high-dose oral and IV methylprednisolone regimes have been used for DLI with varying efficacy reported, owing to the lack of randomized data, heterogeneity in patient selection, treatment dose and duration and other confounding factors. Relapse is often observed with stopping or premature tapering of steroids (38). A previous case series reported slow recovery despite steroid therapy and TMP-SMX discontinuation, with high mortality and morbidity, indicative of the irreversible destructive nature of the insult (6). There is currently no definite dose regime for severe DLI, though the Japanese Respiratory Society recommends high-dose methylprednisolone therapy 500–1,000 mg/day for three days, followed by dose equivalent of prednisolone 0.5–1.0 mg/kg/day for two to four weeks, which is then tapered (30). Our patient’s fever, rash and MV requirements improved with initiation of steroids without any relapse after cessation of treatment.
Conclusions
Drug-induced lung toxicity is challenging to diagnose and is likely under-recognized. Clinicians must maintain an index of suspicion for DLI. Early recognition and cessation of the offending drug is key in management of DLI. TMP-SMX-associated respiratory failure has been reported in children, and appears to be associated with pneumomediastinum and pneumothorax, though its pathophysiology is still not well understood. Given the potential high risk of mortality and morbidity, there is a need to identify clinical and genetic risk factors associated with severe TMP-SMX-induced lung injury.
Acknowledgments
We thank the multidisciplinary team involved in the care of this patient.
Funding: None.
Footnote
Reporting Checklist: The authors have completed the CARE reporting checklist. Available at https://tp.amegroups.com/article/view/10.21037/tp-23-383/rc
Peer Review File: Available at https://tp.amegroups.com/article/view/10.21037/tp-23-383/prf
Conflicts of Interest: All authors have completed the ICMJE uniform disclosure form (available at https://tp.amegroups.com/article/view/10.21037/tp-23-383/coif). J.H.L. serves as an unpaid Deputy Editors-in-Chief of Translational Pediatrics from July 2022 to June 2024. The other authors have no conflicts of interest to declare.
Ethical Statement: The authors are accountable for all aspects of the work in ensuring that questions related to the accuracy or integrity of any part of the work are appropriately investigated and resolved. All procedures performed in this study were in accordance with the ethical standards of the national research committee and with the Helsinki Declaration (as revised in 2013). Written informed consent was obtained from the patient’s parents for publication of this case report and accompanying images. A copy of the written consent is available for review by the editorial office of this journal.
Open Access Statement: This is an Open Access article distributed in accordance with the Creative Commons Attribution-NonCommercial-NoDerivs 4.0 International License (CC BY-NC-ND 4.0), which permits the non-commercial replication and distribution of the article with the strict proviso that no changes or edits are made and the original work is properly cited (including links to both the formal publication through the relevant DOI and the license). See: https://creativecommons.org/licenses/by-nc-nd/4.0/.
References
- Frey N, Bircher A, Bodmer M, et al. Antibiotic Drug Use and the Risk of Stevens-Johnson Syndrome and Toxic Epidermal Necrolysis: A Population-Based Case-Control Study. J Invest Dermatol 2018;138:1207-9. [Crossref] [PubMed]
- Higgins T, Niklasson PM. Hypersensitivity pneumonitis induced by trimethoprim. BMJ 1990;300:1344. [Crossref] [PubMed]
- Jamous F, Ayaz SZ, Choate J. Acute fibrinous organising pneumonia: a manifestation of trimethoprim-sulfamethoxazole pulmonary toxicity. BMJ Case Rep 2014;2014:bcr2014205017. [Crossref] [PubMed]
- Yuzurio S, Horita N, Shiota Y, et al. Interstitial lung disease during trimethoprim/sulfamethoxazole administration. Acta Med Okayama 2010;64:181-7. [Crossref] [PubMed]
- Miller JO, Taylor J, Goldman JL. Severe Acute Respiratory Failure in Healthy Adolescents Exposed to Trimethoprim-Sulfamethoxazole. Pediatrics 2019;143:e20183242. [Crossref] [PubMed]
- Miller JO, Shih AR, Mino-Kenudson M, et al. Trimethoprim-Sulfamethoxazole-associated Fulminant Respiratory Failure in Children and Young Adults. Am J Respir Crit Care Med 2021;203:918-21. [Crossref] [PubMed]
- Natterer J, Rizzati F, Perez MH, et al. Suspected Case of Drug-Induced Acute Respiratory Distress Syndrome following Trimethoprim-Sulfamethoxazole Treatment. J Pediatr Intensive Care 2022;11:67-71. [Crossref] [PubMed]
- Rubin J, Chiu ML, Mino-Kenudson M, et al. ARDS With Pneumothorax in a Young Adult. Chest 2022;161:e111-6. [Crossref] [PubMed]
- Miller J, Khan H, Mino-Kenudson M, et al. Definition and Clinical Evaluation for Trimethoprim-Sulfamethoxazole Severe Acute Respiratory Failure. Crit Care Med 2023;51:e264-8. [Crossref] [PubMed]
- Woods CR, Bradley JS, Chatterjee A, et al. Clinical Practice Guideline by the Pediatric Infectious Diseases Society and the Infectious Diseases Society of America: 2021 Guideline on Diagnosis and Management of Acute Hematogenous Osteomyelitis in Pediatrics. J Pediatric Infect Dis Soc 2021;10:801-44. [Crossref] [PubMed]
- Matsuura N, Saitou K. Boerhaave's Syndrome. Intern Med 2022;61:265-6. [Crossref] [PubMed]
- Chirica M, Champault A, Dray X, et al. Esophageal perforations. J Visc Surg 2010;147:e117-28. [Crossref] [PubMed]
- Matos MJR, Rosa MEE, Brito VM, et al. Differential diagnoses of acute ground-glass opacity in chest computed tomography: pictorial essay. Einstein (Sao Paulo) 2021;19:eRW5772. [Crossref] [PubMed]
- Cozzi D, Cavigli E, Moroni C, et al. Ground-glass opacity (GGO): a review of the differential diagnosis in the era of COVID-19. Jpn J Radiol 2021;39:721-32. [Crossref] [PubMed]
- Miller WT Jr, Shah RM. Isolated diffuse ground-glass opacity in thoracic CT: causes and clinical presentations. AJR Am J Roentgenol 2005;184:613-22. [Crossref] [PubMed]
- Bush A, Cunningham S, de Blic J, et al. European protocols for the diagnosis and initial treatment of interstitial lung disease in children. Thorax 2015;70:1078-84. [Crossref] [PubMed]
- Grimbacher B, Schäffer AA, Holland SM, et al. Genetic linkage of hyper-IgE syndrome to chromosome 4. Am J Hum Genet 1999;65:735-44. [Crossref] [PubMed]
- Kardaun SH, Sekula P, Valeyrie-Allanore L, et al. Drug reaction with eosinophilia and systemic symptoms (DRESS): an original multisystem adverse drug reaction. Results from the prospective RegiSCAR study. Br J Dermatol 2013;169:1071-80. [Crossref] [PubMed]
- Brockow K, Ardern-Jones MR, Mockenhaupt M, et al. EAACI position paper on how to classify cutaneous manifestations of drug hypersensitivity. Allergy 2019;74:14-27. [Crossref] [PubMed]
- Kardaun SH, Sidoroff A, Valeyrie-Allanore L, et al. Variability in the clinical pattern of cutaneous side-effects of drugs with systemic symptoms: does a DRESS syndrome really exist? Br J Dermatol 2007;156:609-11. [Crossref] [PubMed]
- Meduri GU, Headley AS, Golden E, et al. Effect of prolonged methylprednisolone therapy in unresolving acute respiratory distress syndrome: a randomized controlled trial. JAMA 1998;280:159-65. [Crossref] [PubMed]
- Razzaq S, Schutze GE. Rocky Mountain spotted fever: a physician's challenge. Pediatr Rev 2005;26:125-30. [Crossref] [PubMed]
- Schmidt WP, Devamani CS, Elangovan D, et al. Clinical characteristics of and antibody response to spotted fever group rickettsial infections in South India: Case series and serological cohort study. Trop Med Int Health 2021;26:1616-23. [Crossref] [PubMed]
- Buckingham SC, Marshall GS, Schutze GE, et al. Clinical and laboratory features, hospital course, and outcome of Rocky Mountain spotted fever in children. J Pediatr 2007;150:180-4, 184.e1.
- Zhang YY, Sun YQ, Chen JJ, et al. Mapping the global distribution of spotted fever group rickettsiae: a systematic review with modelling analysis. Lancet Digit Health 2023;5:e5-e15. [Crossref] [PubMed]
- Copaescu A, Gibson A, Li Y, et al. An Updated Review of the Diagnostic Methods in Delayed Drug Hypersensitivity. Front Pharmacol 2020;11:573573. [Crossref] [PubMed]
- Naranjo CA, Busto U, Sellers EM, et al. A method for estimating the probability of adverse drug reactions. Clin Pharmacol Ther 1981;30:239-45. [Crossref] [PubMed]
- Camus P, Fanton A, Bonniaud P, et al. Interstitial lung disease induced by drugs and radiation. Respiration 2004;71:301-26. [Crossref] [PubMed]
- Camus P. The Drug-Induced Respiratory Disease Website [Internet]. Dijon, France: Camus, P; 2023 [updated 2023 Aug 23, cited 2023 Sept 4]. Available online: http://www.pneumotox.com
- Kubo K, Azuma A, Kanazawa M, et al. Consensus statement for the diagnosis and treatment of drug-induced lung injuries. Respir Investig 2013;51:260-77. [Crossref] [PubMed]
- Schwaiblmair M, Behr W, Haeckel T, et al. Drug induced interstitial lung disease. Open Respir Med J 2012;6:63-74. [Crossref] [PubMed]
- Prasad R, Gupta P, Singh A, et al. Drug induced pulmonary parenchymal disease. Drug Discov Ther 2014;8:232-7. [Crossref] [PubMed]
- Ratwani A, Gupta B, Stephenson BW, et al. The Spectrum of Drug-Induced Interstitial Lung Disease. Curr Pulmonol Rep 2019;8:139-50.
- Nasim F, Paul JA, Boland-Froemming J, et al. Sulfa-induced acute eosinophilic pneumonia. Respir Med Case Rep 2021;34:101496. [Crossref] [PubMed]
- Goldman JL, Miller JO, Miller N, et al. HLA-B*07:02 and HLA-C*07:02 are associated with trimethoprim-sulfamethoxazole respiratory failure. Pharmacogenomics J 2022;22:124-9. [Crossref] [PubMed]
- Gomes ER, Brockow K, Kuyucu S, et al. Drug hypersensitivity in children: report from the pediatric task force of the EAACI Drug Allergy Interest Group. Allergy 2016;71:149-61. [Crossref] [PubMed]
- Camus PH, Foucher P, Bonniaud PH, et al. Drug-induced infiltrative lung disease. Eur Respir J Suppl 2001;32:93s-100s.
- Skeoch S, Weatherley N, Swift AJ, et al. Drug-Induced Interstitial Lung Disease: A Systematic Review. J Clin Med 2018;7:356. [Crossref] [PubMed]
- Hon KL, Leung KKY, Oberender F, et al. Paediatrics: how to manage acute respiratory distress syndrome. Drugs Context 2021;2021: [Crossref] [PubMed]

