Case report of compound CFTR variants in Korean siblings with cystic fibrosis: importance of differentiating cystic fibrosis from inflammatory bowel disease
Introduction
The prevalence of inflammatory disorders of the gastrointestinal tract, such as eosinophilic gastroenteritis (EoGE) and inflammatory bowel disease (IBD), is increasing in Asian countries including Korea, which is thought to be due to changes in diet and altered intestinal microbiota. Several specific findings in Korean pediatric patients with EoGE and IBD have been reported (1-3). Cystic fibrosis (CF) is known to be rare in Asian populations. However, abdominal pain, diarrhea, and failure to thrive are common clinical manifestations of CF and can lead to a range of gastrointestinal complications, including chronic inflammation, gut microbiota disruption, and gastrointestinal malignancies (4,5). Therefore, when evaluating pediatric patients suspected of chronic intestinal inflammation or growth failure, a high index of suspicion for CF is required even in Asian countries. CF is an autosomal recessive disease typically caused by mutations in the CF transmembrane conductance regulator (CFTR) gene. Diagnostic exome sequencing (DES) has utility in the diagnosis of CF and identification of disease-causing variants. In this study, we report the identification of CF in a pair of Korean siblings by DES, who was initially thought to have IBD-mimicking disease. We present the following case in accordance with the CARE reporting checklist (available at https://dx.doi.org/10.21037/tp-21-274).
Case presentation
A 13-year-old boy was admitted to this University Children’s Hospital with a 5-year history of abdominal pain, diarrhea, and poor weight gain despite having a good appetite. He described repeated acute episodes of severe colicky abdominal pain and frequent bulky and foul smelling stools. He had been treated with growth hormone (GH) for short stature since 8 years of age. Despite GH therapy for 5 years, his height was 146 cm (5th to 10th centile) and his weight was 34 kg (3rd centile), which implied failure to thrive. His antenatal care and delivery had been unremarkable. When he was 5 months old, he had a 1-month admission to our hospital due to decreased activity and persistent mucoid stool. Laboratory findings at this time demonstrated hypoalbuminemia and hyponatremia with a normal serum C-reactive protein (CRP) level. Chronic inflammation of the duodenum with eosinophilic infiltration was demonstrated on endoscopic biopsy. At that time, he was diagnosed with cow’s milk protein induced enterocolitis (CMPIE), which improved with treatment. One year prior to the present admission, he underwent surgery for intussusception. He also had a history of seasonal allergic rhinitis. His older brother had died suddenly from pneumonia of unknown cause as an infant. His 7-year-old brother had allergic rhinitis and intermittent diarrhea. All of his ancestors were of Korean ethnicity. There was no family history of IBD, EoGE, autoimmune diseases, pancreatitis, or tuberculosis (TB). We considered relatively common causes of chronic abdominal pain in South Korea, such as EoGE and IBD, based on his symptoms and past medical history of allergic enteropathy, short stature, and intussusception.
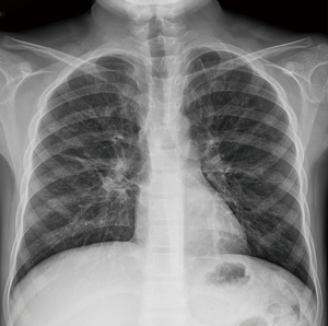
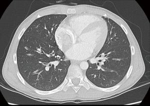
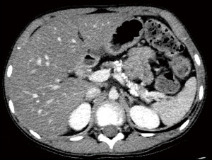
Initial laboratory findings, including complete blood count, liver function tests, CRP, amylase, and lipase, were unremarkable with a normal eosinophil count (4.3%, 450/µL). Fecal immunochemical testing was positive, and the fecal calprotectin (FC) level was 673 mg/kg. No pathogens were detected in stool culture or by multiplex polymerase chain reaction (PCR) (Seegene Inc.). Water’s view radiography demonstrated right frontal and bilateral maxillary sinusitis (Figure 1). Plain chest radiography demonstrated suspicious bronchiectatic lesions in both lung fields (Figure 2). Chest computed tomography (CT) demonstrated subsegmental atelectasis in the right middle lung field and diffuse bronchiectasis in both lungs (Figure 3). Abdominal CT and magnetic resonance (MR) enterography showed diffuse wall thickening from the distal ileum to the ascending colon. Pancreatic atrophy with diffuse calcification was observed with peripancreatic fat infiltration indicated chronic inflammation (Figure 4).
In light of these incidental findings of bronchiectasis and pancreatic calcification, we suspected CF and conducted further investigations. The patient was found to have steatorrhea, with no history of meconium ileus during the neonatal period. Digital clubbing of both fingers and toes was observed, with no history of chronic cardiopulmonary disease. All vital signs, including oxygen saturations, were within the normal range. Despite bowel preparation over 48 hours, ileocolonoscopy was limited by the presence of sticky fecal material from the cecum to the hepatic flexure. Ileocolonoscopy demonstrated several ulcerative lesions with adherent white plaques at the ileocecal valve with focal erythema from the cecum to the middle transverse colon. Histological examination demonstrated significant eosinophilic infiltration at the terminal ileum, cecum, and ascending colon. Esophagogastroduodenoscopy was unremarkable. Pancreatic function tests demonstrated a decreased trypsin level of 53 ng/mL. Decreased lipid-soluble vitamins levels were observed, including 1, 25-(OH)-vitamin D (10.9 ng/mL), 25(OH) vitamin D (3.8 ng/mL), and vitamin E (3.07 mg/L). Deficiencies in several trace elements were seen, including copper (64 µg/dL) and ferritin (undetectable). Bone densitometry of the lumbar spine demonstrated severe osteoporosis (L1–L4, Z-score −3.7). Pulmonary function tests were normal, with forced vital capacity (FVC) and forced expiratory volume in one second (FEV1)/FVC within the normal range. Sputum acid-fast bacillus smear and cultures and PCR for TB were negative; however, sputum cultures had heavy growth of Candida albicans and Staphylococcus aureus. Supplementation with medium chain triglyceride (MCT), fat-soluble vitamin, and pancreatic enzyme replacement therapy (PERT) was immediately commenced. Abdominal pain and diarrhea had improved 1 month after discharge, and significant recovery of growth (height was 158 cm and weight was 45 kg, 10th to 25th centile) was noted after treatment for 1 year.
Whole blood was obtained from the patient and his family members, including his father, mother, younger brother, and younger sister. DES was performed on the patient and revealed compound heterozygous variants of c.263T>G (p.Leu88*) and c.2977G>T (p.Asp993Tyr) in the CFTR gene. Sanger sequencing on family members demonstrated the younger brother had the same compound heterozygous variants. A known pathogenic variant, p.Leu88*, was inherited from the mother, and p.Asp993Tyr, which is not listed in the CFTR variant database (CFTR2.org, last updated on 31st July, 2020), was inherited from the father (Figure 5). The patient is currently 14-year-old, and has been in regular outpatient care without any complications.
All procedures performed in studies involving human participants were in accordance with the Helsinki Declaration (as revised in 2013). This case report was approved by the Institutional Review Board of Kyungpook National University Chilgok Hospital (Number 2020-09-015). Written informed consent was obtained from the patient’s parent or legal guardian for publication of this case report and accompanying images. A copy of the written consent is available for review by the editorial office of this journal.
Discussion
CF represents one of the commonest life-shortening genetic diseases in Caucasian populations. The CFTR protein is found in the lungs, sinuses, pancreas, liver, intestine, and reproductive organs and functions as a membranous chloride and sodium channel involved in the production of mucus, sweat, and digestive enzymes. The altered intestinal environment in CF is due to a variety of factors including loss of bicarbonate secretion and the resultant inspissated mucus (6). Accordingly, CF has a range of clinical manifestations, including recurrent pneumonia, pancreatic insufficiency (PI), and infertility (4,7). This case had many clinical features of CF, including sinusitis, staphylococcal infection of the respiratory tract, bronchiectasis, digital clubbing, intussusception, PI, chronic pancreatitis, fat-soluble vitamin deficiency, and osteoporosis. Digital clubbing in chronic lung disease is posited to be due to hypoxemia and airway obstruction, particularly in patients with CF (8). Intussusception occurs in approximately 1% of patients with CF and is considered to be due to sticky bowel contents (9). This case developed intussusception at the age of 12 years, outside of the typical age range, with no pathologic leading point seen during surgical reduction of intussusception. Impaired ability of the intestine to propel feces is thought to be a precipitant of intussusception.
FC is an indicator of inflammation in the gastrointestinal tract (10). FC levels in children with CF are reported to be significantly higher than in healthy controls, with FC levels greater than 50 mg/kg associated with CF (11). The FC level in this case was 673 mg/kg. FC is correlated with quality of life scores and growth impairment in children with CF (12,13). However, the relationship between PI and FC levels remains controversial. On the other hand, a previous study reported a higher rate of intestinal lesions including edema, erythema, and mucosal breaks on capsule endoscopy in patients with PI than in patients with pancreatic sufficiency (14).
Several case reports of CF have demonstrated features of Crohn’s disease (CD), including recurrent abdominal pain and distal intestinal obstruction syndrome (DIOS), with some cases diagnosed as concomitant CD and CF (15,16). However, in Korean populations, there are only few case-reports on the diagnosis of CF, and no reports on the differential diagnosis of CD and CF. As the clinical presentation of this siblings would have raised alarm bells of CF in Western countries, early screening is important in patient with suspected CF mimicking CD in Far Eastern Asian countries. This case had clinical manifestations of CD, including chronic abdominal pain with diarrhea, failure to thrive, and extraintestinal manifestations. Several ulcer-like lesions and an edematous ileocecal valve were seen, with histological studies demonstrating eosinophilic infiltration, cryptitis, and crypt abscesses in the absence of granulomata. Considering the clinical course and disease characteristics, CD was not considered a likely etiology in this case. In addition, though eosinophilic infiltration can be seen in various inflammatory and bowel diseases, differentiating CF from EoGE was relatively straight-forward in this patient. However, eosinophilic activation in CF has been reported as a cause of eosinophilic esophagitis (17).
The diagnosis of CF is defined according to the following criteria: clinical symptoms consistent with CF and evidence of CFTR dysfunction on sweat chloride testing, abnormal nasal potential difference (NPD) or genetic studies. In Korea, NPD or sweat chloride tests are rarely performed due to the extremely low incidence of CF. DES represents a confirmative method of diagnosing CF in Korea. Despite its expensive cost, DES is particularly useful because it can also detect mutations associated with PI. Once mutations have been identified, clinicians can use Sanger sequencing to inform genetic counseling of family members at lower costs.
Mutation of the CFTR gene can lead to functional defects in the CFTR protein via numerous mechanisms. Greater than 2,000 CFTR variants have been described, with approximately 300 known pathogenic variants. The pathogenicity of variants is further influenced by modifier genes and environmental and socioeconomic factors (18). The most common mutation is F508del, previously termed ΔF508, which represents approximately two thirds of all CFTR alleles in CF. However, ΔF508 is rarely found in Asian patients. Although p.Asp993Tyr is currently not listed in the CFTR variant database, the presence of p.Asp993Tyr has previously been reported in two Korean cases (19,20); however, its pathogenicity is currently uncertain. The first case of a 9-year-old girl admitted for chronic cough and sputum with failure to thrive was reported in 2011. Sweat chloride testing was abnormal. Genetic analysis by denaturing gradient gel electrophoresis (DGGE) demonstrated Q220X and D993Y mutations (19). A further case of a 13-year-old-girl with chronic respiratory infection and CF diagnosed by whole exome sequencing had the same mutation as seen in the present case but without PI, gastrointestinal symptoms, or growth restriction (20).
The clinical phenotype of this pair of siblings suggests p.Asp993Tyr is a pathogenic variant of the CFTR gene. Even this case presented with nonspecific symptoms, including chronic sinusitis and intermittent periumbilical pain; however, he had osteoporosis on bone densitometry and abdominal CT demonstrated pancreatic atrophic changes suggestive of CF. PERT, MCT, and lipid-soluble vitamin supplementation was provided to both patients based on failure to thrive, leading to improved growth chart and laboratory findings.
In conclusion, we report the cases of a pair of Korean siblings diagnosed with CF by DES, who were initially suspected to have an IBD-mimicking disease. CF should be included in the differential diagnosis of IBD-mimicking diseases in Eastern Asian children despite its extremely rare incidence. In addition, the symptoms and findings in this case indicate the mutation p.Asp993Tyr, which is not listed in the CFTR variant database, is a pathogenic variant.
Acknowledgments
Funding: None.
Footnote
Reporting Checklist: The authors have completed the CARE reporting checklist. Available at https://dx.doi.org/10.21037/tp-21-274
Peer Review File: Available at https://dx.doi.org/10.21037/tp-21-274
Conflicts of Interest: All authors have completed the ICMJE uniform disclosure form (available at https://dx.doi.org/10.21037/tp-21-274). The authors have no conflicts of interest to declare.
Ethical Statement: The authors are accountable for all aspects of the work in ensuring that questions related to the accuracy or integrity of any part of the work are appropriately investigated and resolved. All procedures performed in studies involving human participants were in accordance with the Helsinki Declaration (as revised in 2013). This case report was approved by the Institutional Review Board of Kyungpook National University Chilgok Hospital (Number 2020-09-015). Written informed consent was obtained from the patient’s parent or legal guardian for publication of this case report and accompanying images. A copy of the written consent is available for review by the editorial office of this journal.
Open Access Statement: This is an Open Access article distributed in accordance with the Creative Commons Attribution-NonCommercial-NoDerivs 4.0 International License (CC BY-NC-ND 4.0), which permits the non-commercial replication and distribution of the article with the strict proviso that no changes or edits are made and the original work is properly cited (including links to both the formal publication through the relevant DOI and the license). See: https://creativecommons.org/licenses/by-nc-nd/4.0/.
References
- Choi BS, Hong SJ, Park SH, et al. Differences in Features and Course of Mucosal Type Eosinophilic Gastroenteritis between Korean Infants and Children. J Korean Med Sci 2015;30:1129-35. [Crossref] [PubMed]
- Hong SJ, Cho SM, Choe BH, et al. Characteristics and Incidence Trends for Pediatric Inflammatory Bowel Disease in Daegu-Kyungpook Province in Korea: a Multi-Center Study. J Korean Med Sci 2018;33:e132 [Crossref] [PubMed]
- Kang B, Kim JE, Jung JH, et al. Korean Children and Adolescents with Crohn's Disease Are More Likely to Present with Perianal Fistulizing Disease at Diagnosis Compared to Their European Counterparts. Pediatr Gastroenterol Hepatol Nutr 2020;23:49-62. [Crossref] [PubMed]
- Bolia R, Ooi CY, Lewindon P, et al. Practical approach to the gastrointestinal manifestations of cystic fibrosis. J Paediatr Child Health 2018;54:609-19. [Crossref] [PubMed]
- Coffey MJ, Nielsen S, Wemheuer B, et al. Gut Microbiota in Children With Cystic Fibrosis: A Taxonomic and Functional Dysbiosis. Sci Rep 2019;9:18593. [Crossref] [PubMed]
- Ooi CY, Durie PR. Cystic fibrosis from the gastroenterologist's perspective. Nat Rev Gastroenterol Hepatol 2016;13:175-85. [Crossref] [PubMed]
- Villanueva G, Marceniuk G, Murphy MS, et al. Diagnosis and management of cystic fibrosis: summary of NICE guidance. BMJ 2017;359:j4574. [Crossref] [PubMed]
- Nakamura CT, Ng GY, Paton JY, et al. Correlation between digital clubbing and pulmonary function in cystic fibrosis. Pediatr Pulmonol 2002;33:332-8. [Crossref] [PubMed]
- Chaudry G, Navarro OM, Levine DS, et al. Abdominal manifestations of cystic fibrosis in children. Pediatr Radiol 2006;36:233-40. [Crossref] [PubMed]
- Degraeuwe PL, Beld MP, Ashorn M, et al. Faecal calprotectin in suspected paediatric inflammatory bowel disease. J Pediatr Gastroenterol Nutr 2015;60:339-46. [Crossref] [PubMed]
- Garg M, Leach ST, Coffey MJ, et al. Age-dependent variation of fecal calprotectin in cystic fibrosis and healthy children. J Cyst Fibros 2017;16:631-6. [Crossref] [PubMed]
- Beaufils F, Mas E, Mittaine M, et al. Increased Fecal Calprotectin Is Associated with Worse Gastrointestinal Symptoms and Quality of Life Scores in Children with Cystic Fibrosis. J Clin Med 2020;9:4080. [Crossref] [PubMed]
- Dhaliwal J, Leach S, Katz T, et al. Intestinal inflammation and impact on growth in children with cystic fibrosis. J Pediatr Gastroenterol Nutr 2015;60:521-6. [Crossref] [PubMed]
- Werlin SL, Benuri-Silbiger I, Kerem E, et al. Evidence of intestinal inflammation in patients with cystic fibrosis. J Pediatr Gastroenterol Nutr 2010;51:304-8. [Crossref] [PubMed]
- Panagopoulou P, Fotoulaki M, Tsitouridis I, et al. Soft tissue inflammation: presenting feature of Crohn's disease in a cystic fibrosis adolescent. J Cyst Fibros 2007;6:366-8. [Crossref] [PubMed]
- Dobbin CJ, Moriarty C, Bye PT. Granulomatous diseases in a patient with cystic fibrosis. J Cyst Fibros 2003;2:35-7. [Crossref] [PubMed]
- Goralski JL, Lercher DM, Davis SD, et al. Eosinophilic esophagitis in cystic fibrosis: a case series and review of the literature. J Cyst Fibros 2013;12:9-14. [Crossref] [PubMed]
- Collaco JM, Cutting GR. Update on gene modifiers in cystic fibrosis. Curr Opin Pulm Med 2008;14:559-66. [Crossref] [PubMed]
- Kim MJ, Kang JW, Lee JH, et al. A case Report of a Classic Cystic fibrosis Pediatric Patient in Korea Carrying Very Rare CFTR Gene Mutations (D993Y and Q220X). Pediatr Allergy Respir Dis 2011;21:61-6. [Crossref]
- Jeong MH, Jung SS, Kim HY. Cystic fibrosis in a female adolescent carrying c.263T>G (p.Leu88X) and c.2977G>T (p.Asp993Tyr) mutation. Allergy, Asthma & Respiratory Disease 2020;8:165-71. [Crossref]



